審美治療|浜松市中央区で歯医者をお探しの方は【根上り松せいと歯科】まで

AESTHETIC
審美治療
審美治療とは

審美治療は、詰め物・被せ物の見た目や材質に配慮しながら、噛みやすさや耐久性も考えて整える治療です。
むし歯治療後、保険診療では金属(いわゆる銀歯)で補うことが一般的ですが、見た目が気になる、金属の素材が気になるといった場合には、白く目立ちにくい素材(セラミックなど)を選ぶ方法があります。
根上り松せいと歯科では、お口の状態とご希望を確認し、お一人お一人に合う選択肢を一緒に検討します。
※審美治療は自由診療です
こんなお悩みは
ご相談ください

- 銀歯を白くしたい
- 金属が気になる
- 歯の欠けが気になる
- すき間を整えたい
- 形や大きさが気になる
審美治療は「白くする」だけでなく、欠けやすき間など「歯の形のお悩み」にも対応しています。
過去のむし歯治療の被せ物の交換についても、お気軽にご相談ください。
セラミック・
ジルコニア治療の特徴
特徴
天然の歯に近く透明感を再現しやすい。
リスク
強い力がかかると割れることがある。
特徴
セラミックよりも硬く、割れにくいため奥歯の治療の選択肢にもなる。
リスク
硬いため、向かい合っている歯を削ってしまうこともある。
まれに強い力がかかると破損することもある。
共通するメリットとして、金属を使っていないため、金属アレルギーの方でも選択できる素材であること、密着性が高く、二次むし歯を防ぎやすいことなどが挙げられます。
当院では、ご希望に応じてセラミック、またはジルコニアの詰め物や被せ物をご提案しています。
治療の流れ

- カウンセリング
- 検査と説明
- 型取りと製作
- 装着と調整
※むし歯治療を行う方は、先に治療を行ってから詰め物や被せ物をします。
※見た目だけでなく噛み合わせにも配慮しながら、詰め物や被せ物を調整します。
※治療期間の目安:約2~3週間
※治療回数の目安:約2~3回
※症状や治療内容により、回数や期間は前後します
審美治療の費用について

| セラミック | ¥55,000 |
|---|---|
| ジルコニア | ¥55,000 |
※料金はすべて税込表示です。
※再診料、処置料が都度1,000~3,000円必要です。

| ジルコニアセラミック | ¥132,000 |
|---|---|
| オールセラミック | ¥110,000 |
| フルジルコニア | ¥99,000 |
| ファイバーコア (土台) |
¥11,000 |
※料金はすべて税込表示です。
※クラウンは土台を立てたうえで被せ物をします。
※再診料、処置料が都度1,000~3,000円必要です。
審美治療の注意点
- 審美治療は自由診療です。
費用は上記の料金表をご参照ください。 - リスク・デメリットとして、セラミック素材は過度な力が加わると破損する可能性があります。
- ジルコニアは噛み合う歯を削ってしまう可能性があります。
- 詳細はカウンセリング時にお伝えいたしますので、ご不明な点はご相談ください。
症例紹介
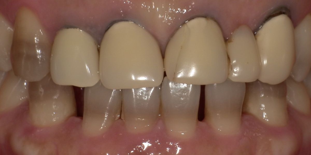
-

<治療前>
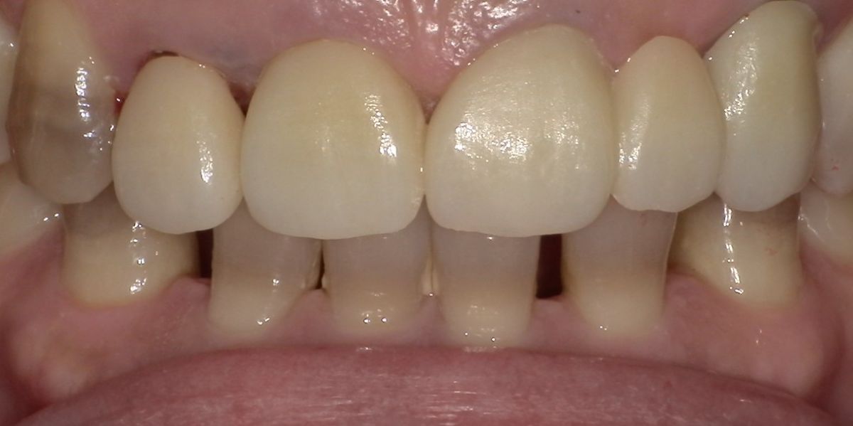
-

<治療後>
主訴:右上の前歯の色が気になる
使用材料:フルジルコニア
費用:¥110,000
治療期間:2ヶ月
副作用・リスク:歯ぎしりや咬合が強い方は、まれに破折することがあります。
-

<治療前>
-

<治療後>
主訴:下の銀歯をセラミックに変えたい
上部構造:全てフルジルコニア
費用:¥524,000
治療期間:2ヶ月
副作用・リスク:銀歯のみ変更できる場合もありますが、歯の状態により根の治療やう蝕治療、歯周病の治療が必要になる場合があります。
-

<治療前>
-

<治療後>
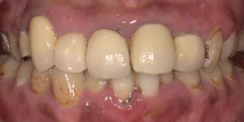
主訴:上の前歯の色が気になる、もっと白くしたい
上部構造:すべてジルコニアセラミック
費用:¥1,320,000
治療期間:2ヶ月
副作用・リスク:特に前歯部は、色合わせのために何度か作り替えが必要な場合があります。歯周病、う蝕、根の治療が必要な場合はさらに時間がかかります。
-

<治療前>
-

<治療後>
主訴:上の前歯の黒ずみが気になるセラミックで治したい
上部構造:すべてフルジルコニア
費用:¥1,100,000
治療期間:2ヶ月
副作用・リスク:特に前歯部は色合わせに何度かつくりかえが必要な場合があります。歯周病、う蝕、根の治療が必要な場合はさらに時間がかかります。
-

<治療前>
-

<治療後>
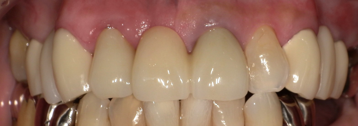
主訴:上の前歯の色を白くしたい
上部構造:すべてフルジルコニア
費用:¥550,000
治療期間:2ヶ月
副作用・リスク:テトラサイクリン歯の特徴のある方は色調の調和が難しいことが多いです。どこの歯をどこまで白くしたいのかで費用:が変わってきます。
審美治療に関する
よくある質問

審美治療は保険が適用されない自由診療ですので、事前のカウンセリングで詳細をお伝えしています。お見積もりだけで治療を行うことはなく、必ず同意いただいてから治療を行っています。
ご不明な点はお問い合わせください。
-
Q.保険診療と何が違いますか?
- A.保険診療は使用できる素材や工程にルールがあり、機能回復を目的としています。
審美治療は、機能回復のほかに、見た目や耐久性、清掃性などにも配慮した設計を行います。
-
Q.どれくらい持ちますか?
- A.お口の状態や噛む力、セルフケアなどで耐用年数は変わります。定期的なチェックで状態を確認し、長く使えるように管理していきます。
待ち時間の軽減のため、
予約優先で診療を行っております
[受付時間]
9:00〜13:00/14:00~18:00
木曜 9:30〜13:00/14:00~19:00
土曜 17:00まで
(水曜・日曜・祝日は除く)
祝日のある週は水曜日も診療いたします



