インプラント|浜松市中央区で歯医者をお探しの方は【根上り松せいと歯科】まで

IMPLANT
インプラント
高品質で信頼できる
インプラントなら
-
無料相談
-
治療実績
1000本以上 -
セカンド
オピニオン
受付
60分の丁寧な
カウンセリング随時受付中!
こんなお困りごとは
ありませんか?

- 他院でインプラント治療を勧められたが、
不安を感じる - 入れ歯が不自由で困っている
- 他院での治療計画や見積もりに納得できない
- 骨が不足していてインプラントが
できないと言われた
今なら無料相談受付中!
静岡県内有数の
インプラントセンターでの
豊富な経験と、
世界シェアNo.1の
インプラントのみを使用し、
高品質な治療を実施。
まずはお気軽にご相談ください。
アクセスマップ
選ばれる5つの理由
1.経験を活かしたインプラント治療
インプラント治療は、精密な診断と計画が求められる治療の一つです。
当院の院長は、大学病院の補綴科(かみ合わせを再建する治療)で研鑽を積み、その後も県下有数のインプラント専門医院のセンター長を務めるなど豊富な経験を重ねてきました。多くの症例を担当してきた経験を活かし、患者さまお一人お一人に適した治療をご提案いたします。
難しいケースにも対応しておりますので、まずはお気軽にご相談ください。
2.信頼性の高いインプラントを採用
今やインプラントメーカーの数は300種類以上におよび、その安全性・安定性についても様々です。当院では、長年の研究と開発を重ね、多くの臨床データに基づいた世界シェアNo.1のインプラントを採用しております。
3.充実した設備
インプラント治療には、精密な診断と適切な器材が欠かせません。
当院では、CTやインプラントメーカー推奨の器材、生体モニターなどを備え、患者さまの状態を詳しく把握しながら治療を行います。
治療環境を整え、より良い結果を目指して取り組んでいます。
4.明確な費用設定
インプラント治療では、「パーツが多い」、「使用する器材が多い」、「工程が多い」等の理由により費用が不明瞭な場合があります。
当院では患者さまにわかりやすいよう、明瞭な費用設定をしております。
5.ご納得いただけるようしっかりご説明いたします
当院では、無料相談の段階でCTなどの検査を行い、治療についても院長が直接ご説明いたします。疑問や不安があれば、どのようなことでもお答えいたします。
当院では相談・レントゲン・CT撮影の費用がかかりませんので、まずはお気軽にご相談ください。
世界シェアNo.1の
インプラント
「ストローマン」
当院が使用するインプラント
ストローマン(Straumann)インプラントは、スイスに本社を持つストローマン社が開発したインプラントシステムです。世界中の歯科医師に支持されており、長年の研究と臨床データに基づいた設計が特徴です。


出典:アールアンドディ株式会社 「歯科機器・用品年鑑 2025年版」
- 長期的な信頼性
研究に基づいた設計と豊富な臨床データ - 骨との優れた結合性
特殊な表面加工により、インプラントと骨がしっかり結合しやすい - 幅広い症例に対応
骨量が少ない場合でも選択肢があり、患者さまに適した治療計画を立てやすい
当院では、これらの特長を活かし、患者さまに適したインプラント治療を提案しています。
よくある質問 Q&A
- Q1.保険適用のインプラントはありますか?
- A. 当院のインプラントは、保険適応外の診療となります。
- Q2.インプラントの手術後に痛みや腫れはどれくらい続きますか?
- A. 術後の痛みや腫れは1週間ぐらいで引くことが多いです。歯を抜いたことがある方は、それと似たような感じと思っていただいて良いと思います。痛み止め等のお薬によって、痛みはほとんど抑えることができます。
- Q3.天然歯でインプラントはできますか?
- A. よく勘違いされることが多いですが、インプラントとは天然歯が抜けてしまった際に行う治療になります。ご自身の天然歯が残せる場合は、インプラントをせずに治せるでしょう。
- Q4.インプラントの価格の相場はどれくらいですか?
- A. 一般的に費用の相場平均は40万円前後くらいです。当院では1本あたり、44万円(税込)でご用意しております。
- Q5.インプラントをする方はどういった経緯の方が多いですか?
- A. 入れ歯が痛い・噛めない、入れ歯が苦手、なんでも噛めるようになりたいという悩みをお持ちの方が多いです。
- Q6.インプラントを受ける医院選びのポイントはありますか?
- A. 医師の経験値と、使用するメーカー、インプラント治療の実績があることを確認しましょう。 当院の院長は、毎年100本以上の治療実績があり、難しい症例にも対応することができます。
- Q7.インプラントはかなりの確率で失敗すると聞きましたが、実際どうですか?
- A. 昔は、インプラントの材質・品質が今のように優れておらず、手術自体が成功しても後々に悪くなってしまうことがありました。現在は、材質・品質は格段に向上し、治療法も確立されているため、一般的な成功率は90%以上といわれています。
- Q8.インプラントのメンテナンスは、どのくらいの間隔でした方がいいですか?
- A. 天然歯と同様に、3か月おきにはメインテナンスをすることが推奨されます。
- Q9.歯を抜いてから5年経っていてもインプラントはできますか?
- A. 年数は直接的には影響はしません。どの方も埋入部位の骨が十分あれば可能ですので、レントゲン・CTを撮って確認することが大切です。当院では相談の際のレントゲン・CT撮影も無料で行っております。
- Q10.インプラント即日完了という歯科医院がありますが、それは本当ですか?
- A. 即日に完成させることも可能ではありますが、顎骨内に入れたインプラントが体と十分定着する前に負荷をかけると、せっかく入れたインプラントが抜けてしまう恐れがあります。長く使っていくためにも即日完了は当院ではおすすめしていません。
- Q11.インプラントの被せ物がよく取れるのですが、何が問題なのでしょうか?
- A. 可能性としては、かみ合わせが合ってない・接着材料が合ってない・または強度不足などが考えられます。当院ではそのようなことがないよう、細心の注意を払って治療に取り組んでいます。
- Q12.手術後にインプラントの箇所が痛いのですが、どうすればいいでしょうか?
- A. 我慢せずに手術をした先生に一度状態を診てもらってください。当院でも対応は可能です。お気軽にご相談ください。
- Q13.インプラントが定着するにはどれくらい時間がかかりますか?
- A. 2ヵ月ほどで多くの方が定着しています。
患者さまに
わかりやすい価格を

下記の治療費および材料費が全て含まれています。
治療費
-

カウンセリング費用
-

診断費用(CT)
-

手術費用
材料費
-

被せ物(セラミック製)
-

アバットメント
-

インプラント
(ストローマン社製)
オプション
※症例により静脈内鎮静や骨造成、歯肉移植が必要な場合は追加費用が発生することがあります。
-
サイナスリフト:¥165,000(税込)
静脈内鎮静(日帰り):希望により要相談
治療の流れ
- 1.術前診査
術前診査では、患者さまの歯の状態や口腔内の骨密度などを評価し、インプラント手術の適格性を判断します。また、歯科医師は患者さまとのコミュニケーションを通じて、患者さまの希望や予算なども考慮し、適切な治療計画を策定します。
- 2.治療計画
インプラント手術の治療計画では、歯科医師は患者さまの状況に基づき、手術の詳細な予定を立てます。歯科医師は、インプラントの数や位置、手術の方法、麻酔の種類などを検討し、患者さまに適切な治療計画を提案します。
- 3.治癒期間
治癒期間では、インプラントが骨にしっかりと結合するために時間が必要です。通常は数ヶ月間の期間を設け、骨とインプラントが完全に結合するのを待ちます。この期間中には、過度な負荷や刺激を避け、正しい食事や口腔衛生を保つことが重要です。
※治癒期間中に口腔衛生指導や、虫歯の治療を平行して行う場合がございます⇒その場合保険適応の処置であれば都度費用がかかります。
- 4.アバットメント・人工歯の装着
アバットメント・人工歯の装着は、治癒期間後に行われます。
アバットメントはインプラント上に取り付けられ、人工歯(クラウン)が取り付けられます。この段階では、患者さまの咬み合わせや審美的な要素も考慮され、個別に調整されます。
- 5.治療後の歯磨きと定期検診 治療後の歯磨きと定期検診は、インプラントの長期的な成功を保つために重要です。適切な歯磨きやフロスの使用、定期的な歯科検診によって、インプラント周囲の健康な状態を維持し、合併症の早期発見と予防を行います。歯科医師は定期的なチェックを行い、必要に応じてインプラント周囲のメンテナンスを実施します。
症例
-

<治療前>
-

<治療後>
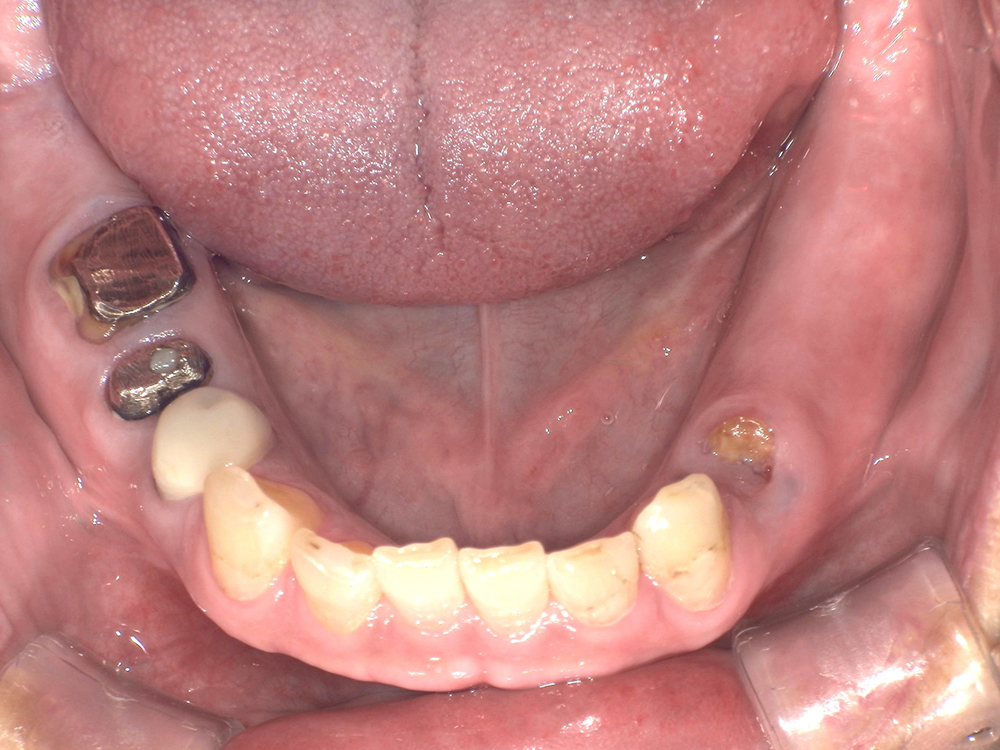
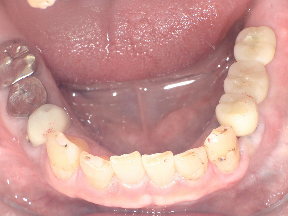
主訴:右下奥歯で物が噛めない
処置内容:下顎 ストローマンインプラント2本埋入
骨造成:なし
静脈鎮静:なし
上部構造:フルジルコニア
費用:¥880,000(税込)
治療期間:3カ月
副作用・リスク:
パーキンソン病の方で体動のある方ですが手術には問題ありません。術後は炎症反応により腫れが生じますが、1週間ほどで治っていくことがほとんどです。
-

<治療前>
-

<治療後>
主訴:前歯に入れ歯は使いたくない
処置内容:上顎 ストローマンインプラント2本埋入
骨造成:なし
静脈鎮静:なし
上部構造:フルジルコニア
費用:¥880,000(税込)
治療期間:3カ月
副作用・リスク:
抗凝固剤服用中の方のため、出血量は通常よりも多くなりがちで心配される方も多いですが、少数のインプラントであれば何ら支障無く治療可能です。
-

<治療前>
-

<治療後>
主訴:右下奥歯で噛めない 入れ歯は入れたくない
処置内容:ストローマンインプラント2本埋入
骨造成:なし
静脈鎮静:なし
上部構造:フルジルコニア
費用:¥880,000(税込)
治療期間:2カ月
副作用・リスク:
術後の炎症反応により、痛みや腫れが生じますが、およそ1週間ほどで軽快していきます。生活にはほとんど支障がありません。
-

<治療前>
-

<治療後>
主訴:上の前歯を他院で抜かれてしまった。入れ歯は入れたくない。
処置内容:上顎 ストローマンインプラント5本埋入
骨造成:有
静脈鎮静:なし
上部構造:フルジルコニア
費用:¥2,200,000(税込)
治療期間:2カ月
副作用・リスク:
手術後に微熱、腫脹、痣等が生じることがありますが時間と共に消失します。
-

<治療前>
-

<治療後>
主訴:入れ歯が気持ち悪くて噛めない。しっかり噛めるようにインプラントにしたい。
処置内容:下顎 ストローマンインプラント3本埋入
骨造成:有
静脈鎮静:なし
上部構造:フルジルコニア
費用:¥1,320,000(税込)
治療期間:2カ月
副作用・リスク:
義歯を使用している方は手術後腫脹がるため一時的に使用が困難になることがありますが、一週間ほどで腫れや痛みは消失するので調整すれば使用できるようになります。
-

<治療前>
-

<治療後>
主訴:下の奥歯が折れてしまった 義歯は入れたくない。
処置内容:下顎 ストローマンインプラント1本埋入
骨造成:なし
静脈鎮静:なし
上部構造:フルジルコニア
費用:¥440,000(税込)
治療期間:2カ月
副作用・リスク:
手術後、一時的に腫脹や熱が出ることがありますが、一週間ほどで軽快します。
-

<治療前>
-

<治療後>
主訴:上の前歯が抜けてしまった、入れ歯ではうまく噛めない。
処置内容:抜歯即時 ストローマンインプラント6本埋入
費用:¥2,640,000(税込)
治療期間:3カ月
副作用・リスク:
埋入本数が多いと一時的に頬部に青痣(内出血)が生じることがありますが時間と共に消失します。
-

<治療前>
-

<治療後>
主訴:左下の奥歯が折れた。
処置内容:抜歯即時 ストローマンインプラント2本埋入
費用:¥880,000(税込)
治療期間:2カ月
副作用・リスク:
一時的に腫脹が出ますが1週間程度で消失します。
待ち時間の軽減のため、
予約優先で診療を行っております
[受付時間]
9:00〜13:00/14:00~18:00
木曜 9:30〜13:00/14:00~19:00
土曜 17:00まで
(水曜・日曜・祝日は除く)
祝日のある週は水曜日も診療いたします


